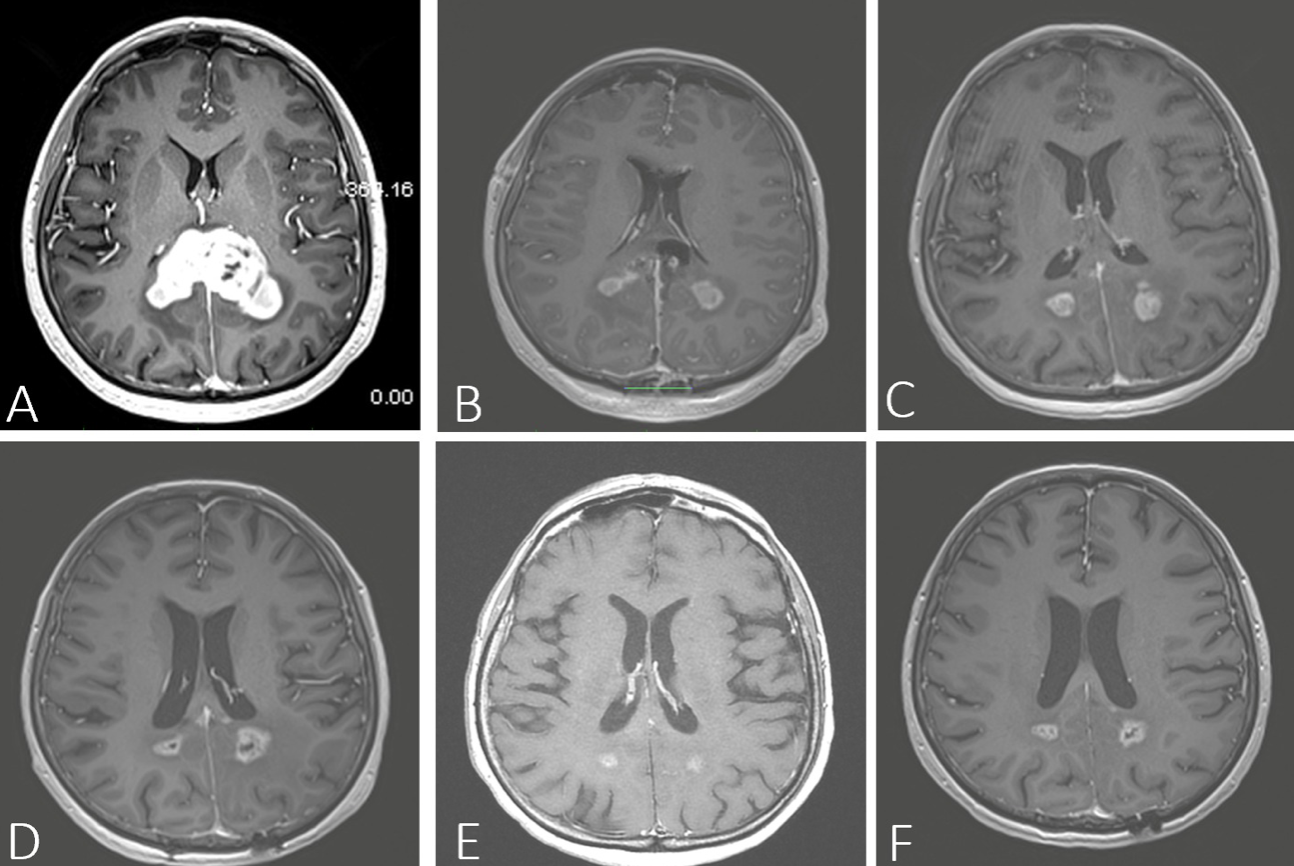
Glioblastom
în fluture
A - RMN preoperator B - Ziua 1 postoperator C - la 3 luni
D - la 6 luni E - la 12 luni F - la 20 de luni
Un caz trimis în mod clasic doar spre biopsie, cu o supraviețuire medie de 6 luni. Prin abord keyhole minim invaziv s-a obținut o rezecție de peste 80% din tumoră. Rezultat: supraviețuire de peste 3 ani.
Intervenția a fost realizată sub monitorizare electrofiziologică continuă în timp real, pentru protecția maximă a funcțiilor neurologice.
Prezentare Caz
Femeie, în vârstă de 53 de ani
Simptome - durere de cap, confuzie,tulburări de limbaj
Diagnostic - Glioblastom în fluture
Intervenție - Abord minim invaziv keyhole
Status actual - Supraviețuire de peste 3 ani
Simptome - durere de cap, confuzie,tulburări de limbaj
Diagnostic - Glioblastom în fluture
Intervenție - Abord minim invaziv keyhole
Status actual - Supraviețuire de peste 3 ani
Ai întrebări?
Fiecare caz este unic. Dacă te confrunți cu simptome neurologice sau ai primit un diagnostic și vrei opinia specialistului, programează o consultație pentru o evaluare completă și un plan de tratament personalizat.
