Gliom Anaplazic
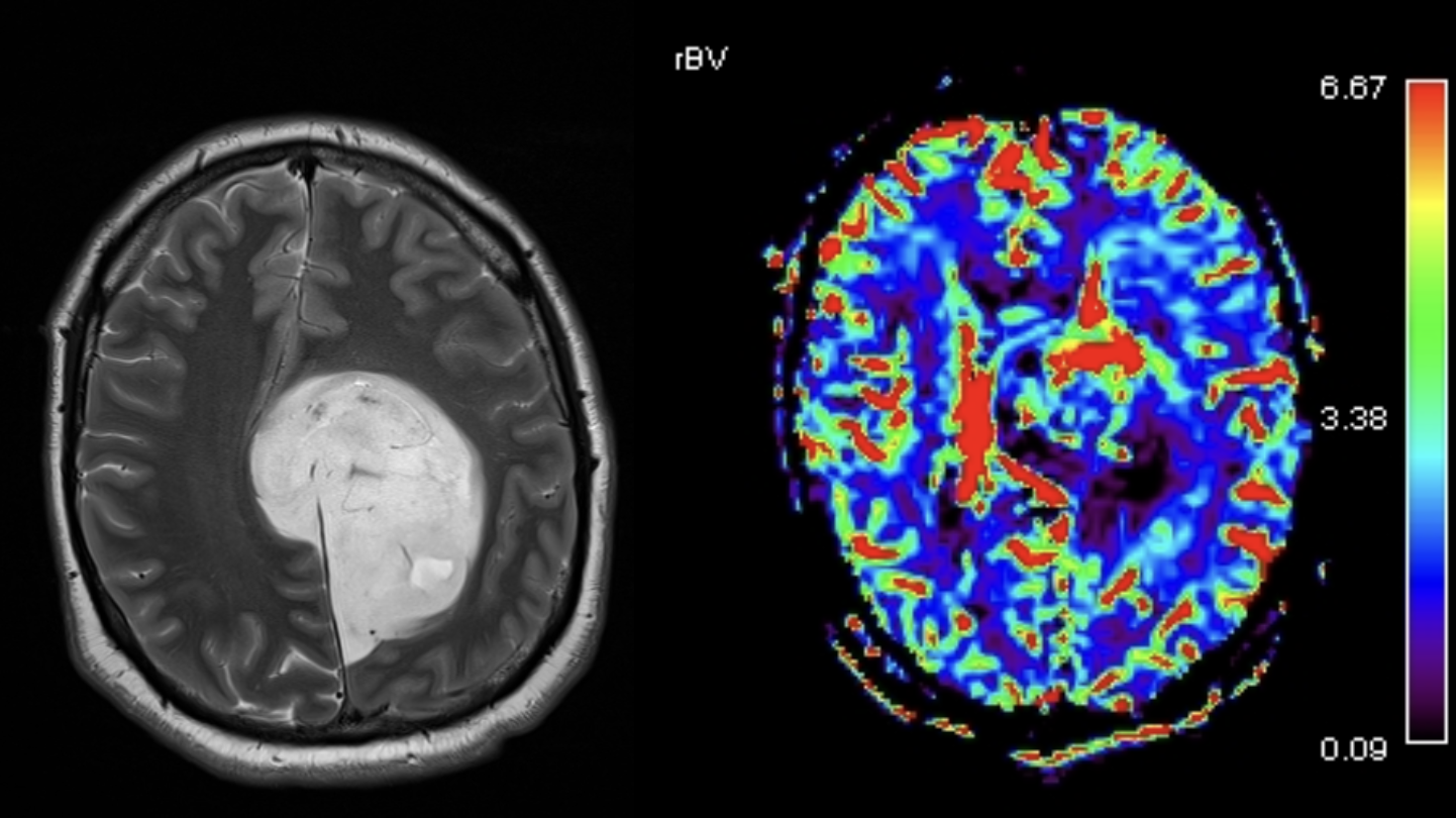
RMN-ul de perfuzie (zona marcată în roșu în interiorul tumorii) a ridicat suspiciunea unui grad de malignitate mai mare decât cel anticipat — suspiciune confirmată intraoperator: grad 3. Supraviețuirea medie în astfel de cazuri este de 2-3 ani. Pacienta depășește 5 ani de supraviețuire.
Planificare preoperatorie: cartografierea tracturilor nervoase din jurul tumorii

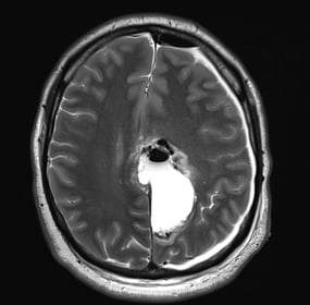
RMN postoperator: rezecție cvasicompletă confirmată imagistic
Intervenția a fost realizată sub monitorizare electrofiziologică continuă în timp real, pentru protecția maximă a funcțiilor neurologice.
Prezentare Caz
Simptome - durere de cap
Diagnostic - Gliom Anaplazic
Intervenție - Abord interemisferic minim invaziv
Status actual - Supraviețuire de peste 5 ani
Ai întrebări?
Fiecare caz este unic. Dacă te confrunți cu simptome neurologice sau ai primit un diagnostic și vrei opinia specialistului, programează o consultație pentru o evaluare completă și un plan de tratament personalizat.
