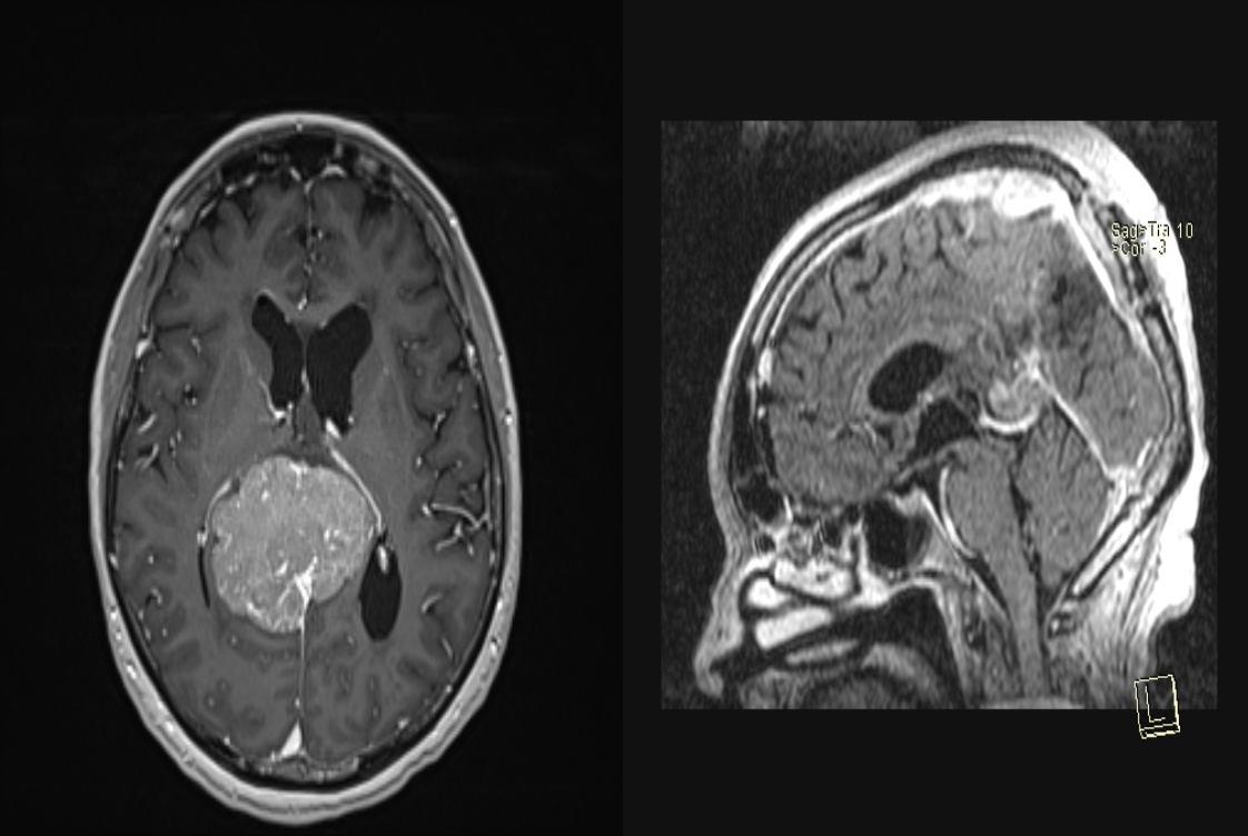
Meningiom
falcotentorial
Prin abord interemisferic minim invaziv (keyhole) s-a obținut o rezecție de peste 90% din tumoră. Reziduul tumoral rezidual (Imaginea 2) a fost tratat ulterior prin iradiere Gamma Knife.
Intervenția a fost realizată sub monitorizare electrofiziologică continuă în timp real, pentru protecția maximă a funcțiilor neurologice.
Prezentare Caz
Femeie, în vârstă de 60 de ani
Simptome - cefalee și ușoară confuzie
Diagnostic - Meningiom falcotentorial
Intervenție - Abord interemisferic minim invaziv keyhole
Status actual - Fără recidivă la 8 ani de la rezecție și 6 ani de la iradiere
Simptome - cefalee și ușoară confuzie
Diagnostic - Meningiom falcotentorial
Intervenție - Abord interemisferic minim invaziv keyhole
Status actual - Fără recidivă la 8 ani de la rezecție și 6 ani de la iradiere
Ai întrebări?
Fiecare caz este unic. Dacă te confrunți cu simptome neurologice sau ai primit un diagnostic și vrei opinia specialistului, programează o consultație pentru o evaluare completă și un plan de tratament personalizat.
