Glioblastomul
Ce este glioblastomul:
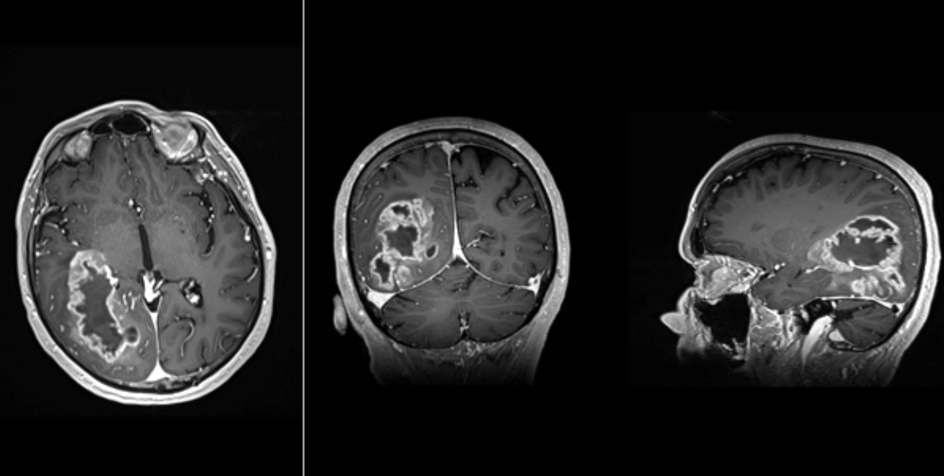
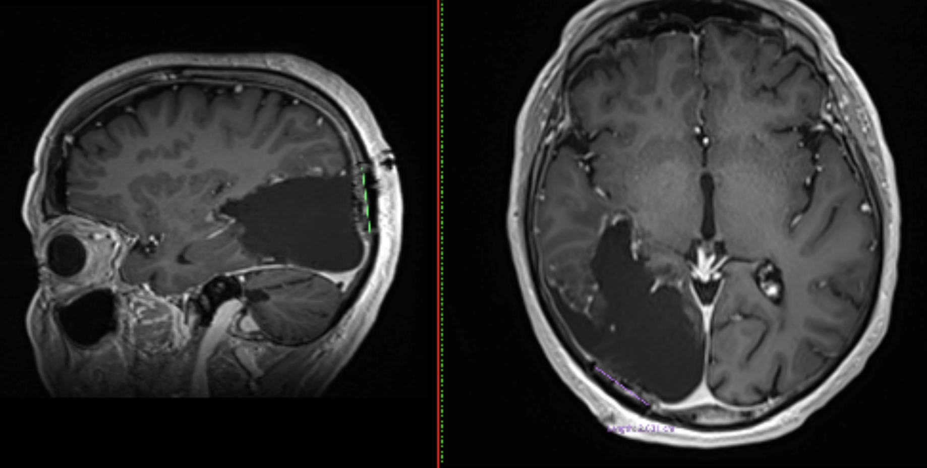
Glioblastomul este o tumoră cerebrală malignă primară, agresivă, care se dezvoltă din celulele gliale. Este cea mai frecventă tumoră malignă cerebrală primară la adult.
Necesită tratament rapid și plan terapeutic complex.
Simptome
Debutul poate fi relativ rapid și poate include:
- Cefalee progresivă
- Convulsii
- Slăbiciune musculară
- Tulburări de vorbire
- Tulburări cognitive
- Modificări de comportament
Diagnostic
Diagnosticul include:
- RMN cerebral cu substanță de contrast
- Imagistică avansată
- Confirmare histopatologică după operație sau biopsie
Tratament
Tratamentul presupune abord multidisciplinar:
- Chirurgie pentru rezecția maximală sigură
- Radioterapie
- Chimioterapie conform protocoalelor oncologice actuale
Managementul este realizat multidisciplinar, cu obiectivul de a menține calitatea vieții pacientului și de a controla evoluția bolii.


Abordarea noastră
Fiecare caz neurochirurgical este diferit. Din acest motiv, evaluarea nu se bazează exclusiv pe un rezultat imagistic sau pe un raport medical, ci pe analiza completă a pacientului.
Consultația este orientată spre înțelegerea în detaliu a cazului, analizând:
- istoricul medical complet
- simptomele actuale și evoluția lor
- toate investigațiile imagistice disponibile (RMN, CT, angiografie, dacă este cazul)
- analizele biologice relevante
- evaluarea riscului operator individual
Nu toate cazurile necesită intervenție chirurgicală. Indicația operatorie este stabilită doar atunci când beneficiul intervenției este clar demonstrat.
Pentru pacienții care necesită operație, pregătirea preoperatorie este realizată riguros, pentru a reduce riscurile și pentru a crește șansele unui rezultat funcțional optim.
Obiectivul este oferirea unei soluții medicale corecte, adaptate fiecărui pacient, cu accent pe siguranță, precizie și continuitatea îngrijirii medicale.
Ai întrebări?
Fiecare caz este unic. Dacă te confrunți cu simptome neurologice sau ai primit un diagnostic și vrei o a doua opinie, programează o consultație pentru o evaluare completă și un plan de tratament personalizat.
