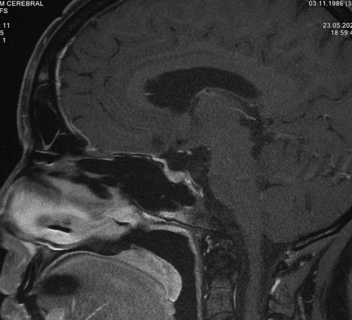
Meningiomul
Ce sunt meningioamele:
Meningioamele sunt tumori care se dezvoltă din meningele — membranele care protejează creierul și măduva spinării. În majoritatea cazurilor sunt tumori benigne, cu creștere lentă.
Unele meningioame pot rămâne stabile ani de zile, în timp ce altele pot necesita tratament activ.
Simptome
În multe cazuri, meningioamele sunt descoperite întâmplător. Când devin simptomatice, pot produce:
- Cefalee persistentă
- Tulburări de vedere
- Tulburări de echilibru
- Deficit neurologic focal
- Tulburări de memorie sau concentrare
Diagnostic și monitorizare
Evaluarea include:
- RMN cerebral
- Monitorizare imagistică periodică (pentru tumorile mici și stabile)
- Evaluare neurologică
Tratament
Opțiunile depind de dimensiune, localizare și evoluție:
- Monitorizare activă
- Tratament chirurgical
- Radioterapie stereotactică
Intervenția chirurgicală urmărește rezecția cât mai completă, cu păstrarea funcțiilor neurologice.


Abordarea noastră
Fiecare caz neurochirurgical este diferit. Din acest motiv, evaluarea nu se bazează exclusiv pe un rezultat imagistic sau pe un raport medical, ci pe analiza completă a pacientului.
Consultația este orientată spre înțelegerea în detaliu a cazului, analizând:
- istoricul medical complet
- simptomele actuale și evoluția lor
- toate investigațiile imagistice disponibile (RMN, CT, angiografie, dacă este cazul)
- analizele biologice relevante
- evaluarea riscului operator individual
Nu toate cazurile necesită intervenție chirurgicală. Indicația operatorie este stabilită doar atunci când beneficiul intervenției este clar demonstrat.
Pentru pacienții care necesită operație, pregătirea preoperatorie este realizată riguros, pentru a reduce riscurile și pentru a crește șansele unui rezultat funcțional optim.
Obiectivul este oferirea unei soluții medicale corecte, adaptate fiecărui pacient, cu accent pe siguranță, precizie și continuitatea îngrijirii medicale.
Ai întrebări?
Fiecare caz este unic. Dacă te confrunți cu simptome neurologice sau ai primit un diagnostic și vrei o a doua opinie, programează o consultație pentru o evaluare completă și un plan de tratament personalizat.
